In recent years, skincare innovation has shifted away from simply increasing ingredient percentages and toward improving bioavailability, stability, and skin compatibility. One of the most intriguing ingredients to emerge from this evolution is malassezin. This fungal-derived antioxidant has quickly gained attention for its targeted action on hyperpigmentation and oxidative stress.
Unlike traditional brightening agents that rely on exfoliation or melanin suppression, malassezin works at a cellular signalling level, addressing pigmentation pathways without disrupting the skin barrier. This makes it particularly appealing for dry, mature, and sensitised skin types — especially those who struggle with post-inflammatory hyperpigmentation or uneven tone but cannot tolerate aggressive actives.
In this article, we will explore what malassezin is, how it works in the skin, how it compares to established antioxidants like vitamin C, and why it is emerging as a next-generation solution for pigmentation management.

What Is Malassezin?
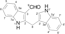
Malassezin is a naturally occurring indole compound derived from Malassezia yeast, a genus of fungi that already exists as part of the skin’s natural microbiome. While fungi in skincare may sound alarming at first, it is important to understand that malassezin is bio-identical, highly purified, and laboratory-stabilised, making it safe and effective for topical use.
From a biochemical perspective, malassezin belongs to a class of molecules known as aryl hydrocarbon receptor (AhR) agonists. This classification is critical, as AhR plays a central role in how skin cells respond to oxidative stress, inflammation, and UV exposure.
Rather than aggressively forcing skin turnover or blocking melanin production outright, malassezin works by modulating cellular behaviour, encouraging skin cells to function more efficiently and calmly.

The Role of the Aryl Hydrocarbon Receptor (AhR) in Skin Health
To understand why this molecule is so effective, we must first examine the aryl hydrocarbon receptor (AhR). This receptor is present in keratinocytes, melanocytes, and immune cells within the skin. It acts as a regulatory switch that responds to environmental stressors, including pollution, UV radiation, and oxidative damage.
When AhR is activated appropriately, it helps:
- Reduce oxidative stress
- Regulate melanocyte activity
- Improve barrier function
- Modulate inflammatory responses
Malassezin activates AhR in a controlled and beneficial way, unlike environmental toxins that overstimulate the same receptor and lead to damage. This distinction is crucial, as it enables malassezin to deliver antioxidant and pigmentation-modulating benefits without triggering irritation or disrupting the skin barrier.

How Malassezin Works on Hyperpigmentation
Hyperpigmentation is not a single process but a cascade involving inflammation, oxidative stress, melanocyte signalling, and melanin distribution. Malassezin addresses multiple points in this pathway simultaneously.
First, its potent antioxidant capacity neutralises free radicals generated by UV exposure and pollution, two of the main triggers for excess melanin production. By reducing oxidative stress, malassezin indirectly lowers the signals that prompt melanocytes to overproduce pigment.
Second, through AhR activation, this active helps normalise melanocyte behaviour, preventing abnormal pigment clustering rather than suppressing melanin entirely. This is particularly beneficial for deeper skin tones and mature skin, where aggressive melanin inhibition can result in uneven results.
Finally, this compound reduces low-grade inflammation in the skin, which is often overlooked but plays a significant role in post-inflammatory hyperpigmentation, especially after acne, eczema, or barrier damage.
Malassezin as an Antioxidant: How Powerful Is It?
In laboratory studies, malassezin has demonstrated exceptionally strong antioxidant activity, outperforming several traditional antioxidants on a molecular level. What makes it particularly impressive is not just its potency, but its stability.
Unlike vitamin C (L-ascorbic acid), which oxidises rapidly when exposed to air, light, or heat, malassezin remains stable in formulations for extended periods. This ensures consistent performance throughout the product’s shelf life and reduces the risk of irritation caused by oxidised ingredients.
For individuals with dry, mature skin, where maintaining barrier integrity and controlling inflammation are priorities, this stability offers a significant advantage.
Malassezin vs Vitamin C: A Smarter Alternative?
Vitamin C has long been considered the gold standard for brightening and antioxidant protection. However, it is not universally tolerated, particularly by those with sensitive, rosacea-prone, or compromised skin barriers.
Malassezin differs in several key ways:
Vitamin C works by directly inhibiting tyrosinase and stimulating collagen synthesis, which can be irritating at effective concentrations. Malassezin, on the other hand, modulates pigmentation indirectly, making it gentler and more suitable for long-term use.
Vitamin C requires a low pH to remain effective, which can disrupt the skin barrier. Malassezin functions efficiently at skin-friendly pH levels, preserving barrier health.
While vitamin C can deliver rapid brightness, malassezin offers gradual, more uniform tone correction with reduced risk of flare-ups or sensitivity.
For many users, especially over 35, malassezin may not replace vitamin C entirely, but can serve as a more tolerable alternative or complementary antioxidant.

Benefits of Malassezin for Mature and Dry Skin
As skin matures, its ability to recover from inflammation and oxidative stress declines. This makes pigmentation slower to fade and increases the likelihood of uneven tone.
- It is particularly well-suited to mature skin because it:
- Supports antioxidant defence without irritation
- Reduces inflammation that exacerbates pigmentation
- Preserves barrier function
- Works synergistically with ceramides and lipids
- Does not increase photosensitivity
Additionally, because this active does not accelerate cell turnover aggressively, it avoids the dryness and flaking often associated with exfoliating brightening treatments.

Who Should Use Malassezin?
This molecule is ideal for:
- Hyperpigmentation-prone skin
- Post-inflammatory marks
- Melasma-prone skin (as part of a broader routine)
- Sensitive or barrier-compromised skin
- Mature skin with uneven tone
- Skin intolerant to vitamin C or retinoids
It is suitable for all Fitzpatrick skin types and is especially beneficial for medium to deeper skin tones, where gentle pigment regulation is essential to avoid rebound pigmentation.
Did You Know?
Malassezin was originally studied not for skincare, but for its role in cellular signalling and immune modulation, before researchers identified its exceptional antioxidant behaviour in skin cells.
How to Use Malassezin in a Skincare Routine
This active is typically found in serums or treatment emulsions and is safe for daily use, both morning and evening.
In the morning, it pairs well with sunscreen, enhancing protection against UV-induced pigmentation. In the evening, it complements barrier-repair ingredients such as ceramides, peptides, and niacinamide.
It layers well with:
- Niacinamide
- Tranexamic acid
- Azelaic acid
- Peptides
- Ceramides
It should be introduced gradually, like any active, but it generally shows excellent tolerability.
UK-Available Skincare Products with Malassezin
It is still a relatively niche ingredient, but it is beginning to appear in science-driven, pigmentation-focused formulations, particularly from brands emphasising innovation and clinical research. It is most commonly found in targeted serums designed for discolouration rather than general brightening.
(As the ingredient becomes more widely adopted, expect to see it integrated into antioxidant serums, tone-correcting treatments, and post-procedure skincare.)
Mother Science – Molecular Hero Serum
Mother Science is a biotech-led skincare brand built entirely around malassezin research. The brand positions malassezin as a next-generation antioxidant specifically targeting oxidative stress, inflammation, and pigmentation signalling via the aryl hydrocarbon receptor (AhR).
The Molecular Hero Serum is formulated to:
- Reduce visible hyperpigmentation and uneven tone
- Protect against environmental oxidative stress
- Support barrier function rather than disrupt it
- Be suitable for sensitive and mature skin
It is often described as an alternative to vitamin C for people who cannot tolerate low-pH or unstable antioxidant formulas.
The serum is available in the UK, typically through:
- Glow Trend
- Selected premium online skincare retailers
(Availability can fluctuate, as it is still a niche, science-driven launch product.)
Mother Science – Molecular Hero Serum
This is currently the best-known and most credible example of malassezin being used in a consumer skincare formula.

Brand: Mother Science
Product: Molecular Hero Serum
Hero ingredient: Malassezin™ (proprietary, lab-stabilised form)
Category: Antioxidant / hyperpigmentation serum
Why There Are So Few Products with Malassezin
This molecule is:
- Difficult to stabilise
- Expensive to manufacture
- Heavily research-protected (often proprietary)
- Still emerging from biotech and dermatological research rather than mass-market cosmetic formulation
Most brands have not yet licensed or developed their own malassezin complexes, which is why you are not seeing it widely used across multiple product ranges — unlike niacinamide or tranexamic acid.
This makes current products containing this ingredient early-adopter skincare, similar to where azelaic acid or retinal once were before becoming mainstream.
Can malassezin be used with retinoids?
Yes, it can complement retinoids by reducing inflammation and oxidative stress, though they should be introduced gradually.
How long does it take to see results?
Visible improvements in tone typically occur within 6–8 weeks with consistent use, depending on the severity of pigmentation.
Final Thoughts: Is Malassezin the Future of Brightening Skincare?
Malassezin represents a shift toward precision skincare, where ingredients work with the skin’s natural signalling systems rather than overriding them. Its ability to reduce pigmentation through antioxidant protection, inflammation control, and melanocyte regulation, all without compromising the barrier, positions it as a standout ingredient for modern skincare routines.
For anyone dealing with stubborn pigmentation, especially on dry or mature skin, this ingredient offers a promising, science-backed option that prioritises skin health as much as visible results.


Bear in mind that some of the links in this post are affiliate links and if you go through them to make a purchase I will earn a commission. Keep in mind that I link these companies and their products because of their quality and not because of the commission I receive from your purchases. The decision is yours, and whether or not you decide to buy something is completely up to you.



